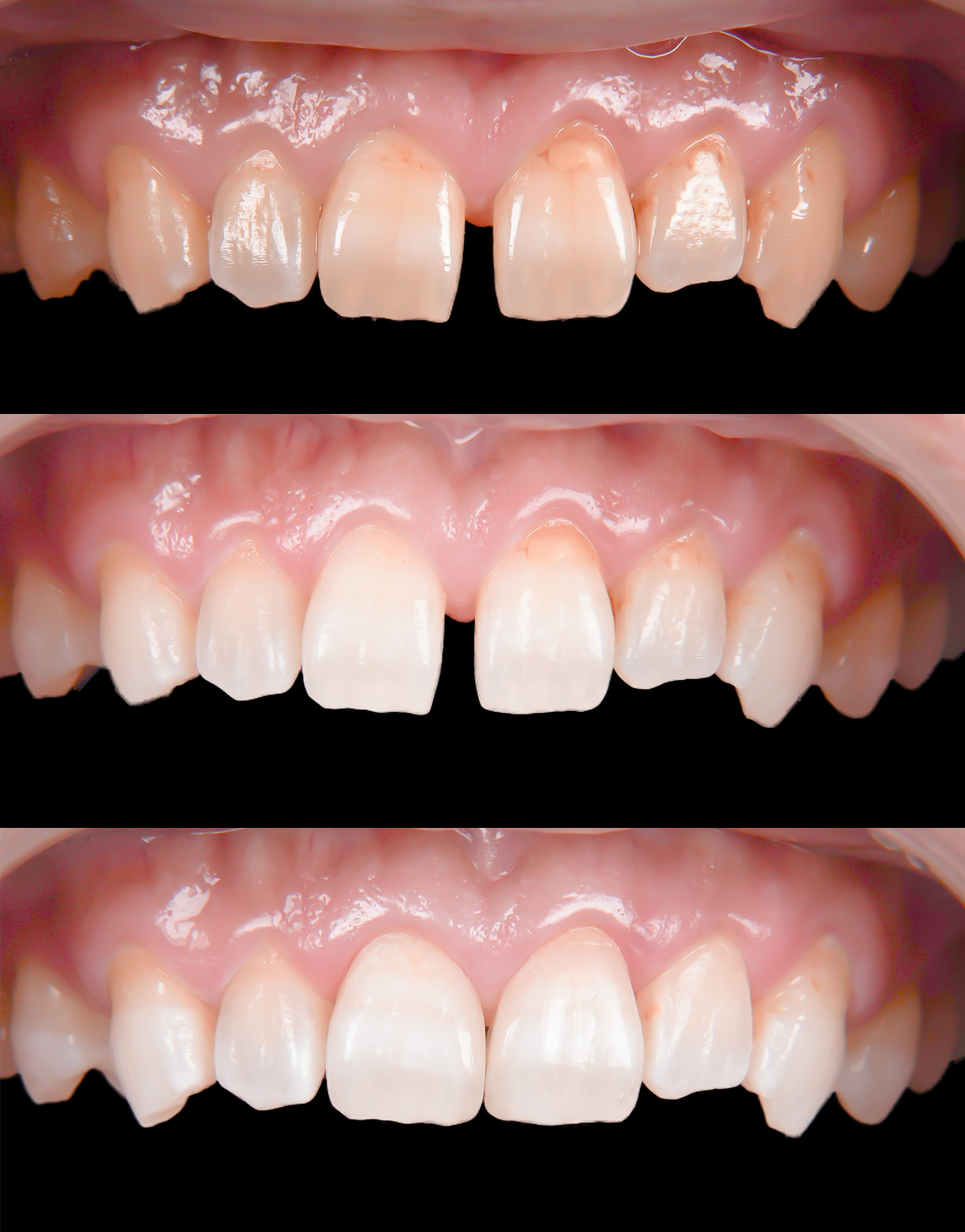
Before
After
治療情報
| 症状 | 歯の隙間・すきっ歯 |
|---|---|
| 治療方法 | ダイレクトボンディング・部分矯正・歯肉整形の併用によって隙間を改善 |
| 費用 |
矯正費および歯肉整形¥100000 ダイレクトボンディング¥32000×6 ※上記は税別価格です。 価格は目安です。予告なく変更される可能性があります。 |
※表示金額は全て税込みです。
患者様情報
| 年代 | 30 |
|---|---|
| 性別 | 男性 |
治療方法

今回は
矯正治療
歯肉整形治療
ダイレクトボンディング
の3つを行いました。
矯正を行わず、真ん中だけを埋める方法も考慮しましたが、歯が大きくなりすぎる可能性があるため矯正を併用することを提案させて頂きました。
矯正治療
歯肉整形治療
ダイレクトボンディング
の3つを行いました。
矯正を行わず、真ん中だけを埋める方法も考慮しましたが、歯が大きくなりすぎる可能性があるため矯正を併用することを提案させて頂きました。

装置を使い、隙間を両サイドに分散させます。

移動が完了しましたが、真ん中の歯肉の形態が不良です。

歯肉の形を整え、歯の隙間を分散させることができました。
ここでようやくダイレクトボンディングへ進みます。
ここでようやくダイレクトボンディングへ進みます。

ラバーダムを使用し確実な操作が行える環境を整えます。

背面の形態を整えるため、事前に材料を準備しておきました。それがこちらです。

様々な処理をして接着力を高めます。

事前に模型上で計測した数値を元に作業を進めます。
性別に合わせた歯の大きさの平均値を参考にし、自然なバランスとなる大きさへ調整します。
性別に合わせた歯の大きさの平均値を参考にし、自然なバランスとなる大きさへ調整します。


「光硬化型コンポジットレジン」という材料を使います。十分な時間光を当てることでしっかり硬化させます。

10種類以上の研磨材料を用意していますので、状態に応じて様々な研磨を行いながら形を整えます。

研磨が終了しました。

術直後の状態です。
色調や形態を改善することができました。
色調や形態を改善することができました。

今回は丸印の位置にダイレクトボンディングを行いました。
修正箇所を分散させることで歯の大きさの調和がとれました。
修正箇所を分散させることで歯の大きさの調和がとれました。


その他の「すきっ歯」症例はからご覧ください。