Before
After
治療情報
| 症状 |
すきっ歯を治したい。 先天性欠如と矮小歯があり、見た目が気になる。 |
|---|---|
| 治療方法 |
インビザラインで矯正治療後、ホワイトニングを行い 接着ブリッジとラミネートべニアにて補綴治療を行いました。 |
| 費用 |
インビザライン矯正 ¥880000 ホワイトニング ¥86000 接着ブリッジ ¥175000 歯肉整形術 ¥10000 プロビジョナルレストレーション ¥10000 ラミネートべニア ¥155000 テンポラリークラウン ¥8000 |
※表示金額は全て税込みです。
患者様情報
| 年代 | 20代 |
|---|---|
| 性別 | 男性 |
治療方法

初診時の写真です。
向かって左側の歯に欠損があるため
中切歯(中央の大きい歯)が左側に寄ってしまっています。
ここからまず矯正治療がスタートしました。
向かって左側の歯に欠損があるため
中切歯(中央の大きい歯)が左側に寄ってしまっています。
ここからまず矯正治療がスタートしました。

まだアタッチメントがついていますが矯正治療終了時です。
今回はインビザラインで行いました。
欠損部位のスペースを確保しました。
また、向かって右側には形の小さい歯(矮小歯)があるため
補綴治療で形をそろえてあげる必要があります。
そのため、あえて隙間を詰めず
完成時にバランスが良くなるように見越した設計にしました。
今回はインビザラインで行いました。
欠損部位のスペースを確保しました。
また、向かって右側には形の小さい歯(矮小歯)があるため
補綴治療で形をそろえてあげる必要があります。
そのため、あえて隙間を詰めず
完成時にバランスが良くなるように見越した設計にしました。

そこからホワイトニングを行い、補綴治療に移ります。
向かって左側の歯は長期間、歯がない状態だったので
歯肉の形態が変わってしまっています。
そのため歯肉整形術を行い、歯肉ラインを揃えました。
歯肉整形後は歯肉の形態付与の助けとなるように
プロビジョナルレストレーション(仮歯)を装着します。
向かって左側の歯は長期間、歯がない状態だったので
歯肉の形態が変わってしまっています。
そのため歯肉整形術を行い、歯肉ラインを揃えました。
歯肉整形後は歯肉の形態付与の助けとなるように
プロビジョナルレストレーション(仮歯)を装着します。

歯肉が落ち着くのを待ってから型取りをしていきます。
プロビジョナルレストレーション(仮歯)の色が元の歯の色に近い色でしたので、ホワイトニング効果がわかりやすいですね
プロビジョナルレストレーション(仮歯)の色が元の歯の色に近い色でしたので、ホワイトニング効果がわかりやすいですね

出来上がった技工物です

左が接着ブリッジ
右がラミネートベニアになります
右がラミネートベニアになります

コンポジットレジンで接着してきます。

ラミネートべニアをセットしました

装着時にズレが生じないようにガイドを作って頂きました

接着ブリッジは工程が非常に難しく、接着時にズレが非常に発生しやすいのですが、
ガイドを使用することによってミクロ単位でずれが発生せず、マイクロスコープで覗いてもマージンが見えないほど良い適合が得られます。
適合の良し悪しは技工士の技術によって大きく左右されますが、それを精密に接着する歯科医師の技量も必要になります。
ガイドを使用することによってミクロ単位でずれが発生せず、マイクロスコープで覗いてもマージンが見えないほど良い適合が得られます。
適合の良し悪しは技工士の技術によって大きく左右されますが、それを精密に接着する歯科医師の技量も必要になります。

装着直後、
天然歯は乾くと白っぽく見えるので
補綴物の色が少し暗く見えますが、時間が経つとなじみます。
天然歯は乾くと白っぽく見えるので
補綴物の色が少し暗く見えますが、時間が経つとなじみます。

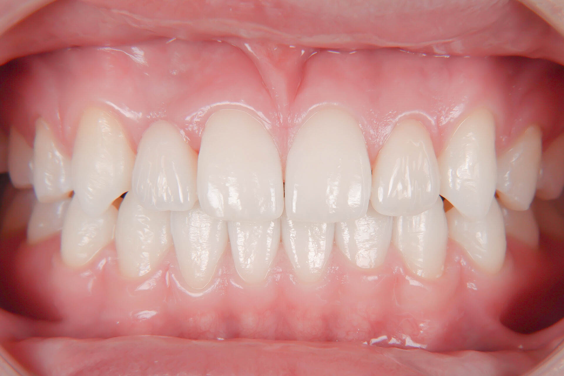
全ての治療が終了しました。

患者様にすごく喜んでいただけて、こちらもすごく嬉しいです。

セラミック治療、審美治療のお悩みはぜひ当院にお任せください。