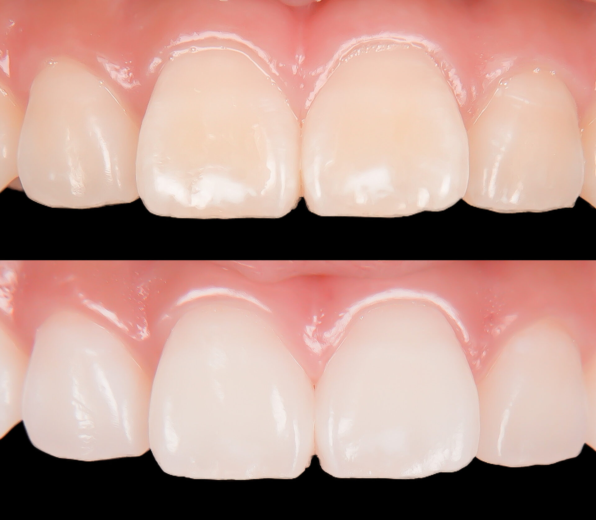
Before
After
治療情報
| 症状 |
白濁があって気になる ホームページをみた、削らない治療をしてほしい |
|---|---|
| 治療方法 | ドイツ製DMG社「Icon(アイコン)」による薬液浸潤治療 |
| 費用 |
ホワイトニング ¥85,000 アイコン ¥57,000 |
| 備考 |
従来、ホワイトスポットの治療は「歯を削ってコンポジットレジンを詰める」という方法が一般的でしたが、歯を削らずに白くできるアイコンという方法が適用される場合があります。 アイコンは白濁の回復だけでなく、非常に強いコーティングのような側面もあり虫歯の予防にもなります。 しかし強いコーティングがゆえ、ホワイトニング効果も得られにくくなります。 ですので、少しでもホワイトニングに興味があればアイコン治療よりも先に行っておくことをお勧めします。 |
※表示金額は全て税込みです。
患者様情報
| 年代 | 10代 |
|---|---|
| 性別 | 女性 |
治療方法

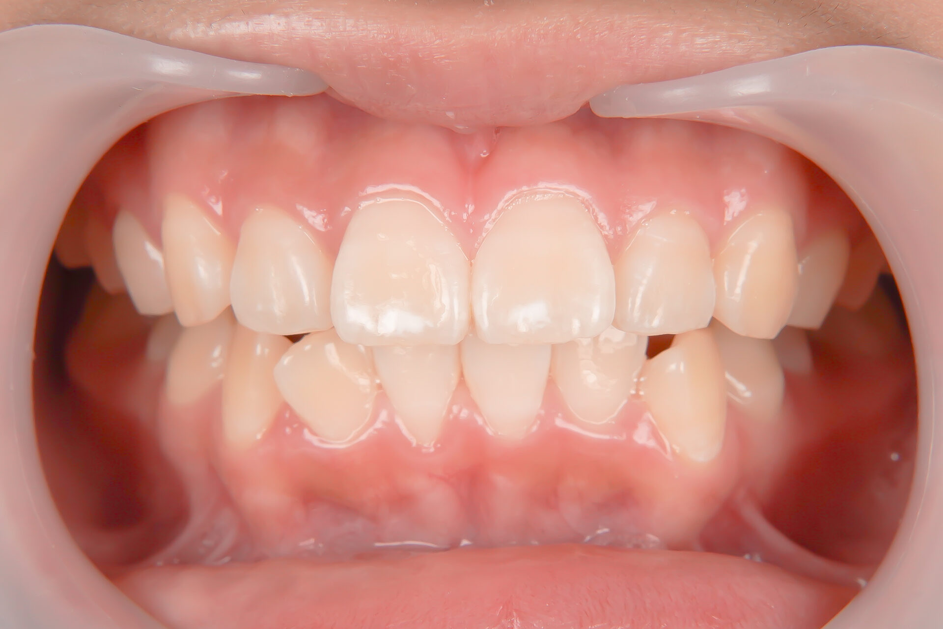
初診の写真です。

ここからまずホワイトニングを行いました。
当院のホワイトニングはゆっくり時間をかけて行うので後戻りがしづらいのが特徴です。
当院のホワイトニングはゆっくり時間をかけて行うので後戻りがしづらいのが特徴です。

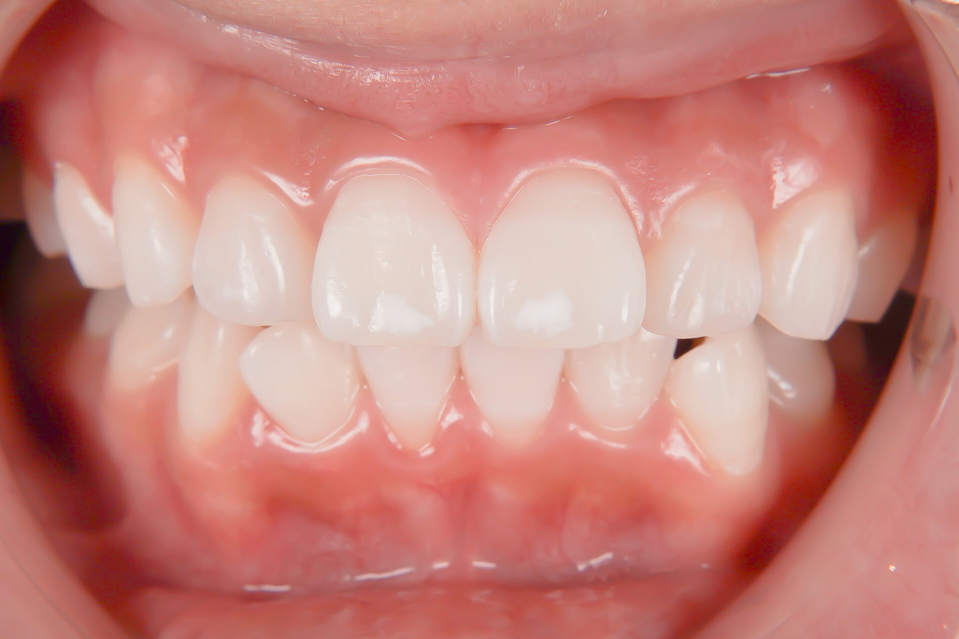
ホワイトニング終了時です。
透明感のある仕上がりになりました。
透明感のある仕上がりになりました。

まだこの状態だとホワイトスポットがはっきり目立っています。
ここからアイコン治療に移ります。
ここからアイコン治療に移ります。

エッチングで歯面処理を行います。

エタノールで表面処理をしていきます。

アイコンの薬剤を塗布します。

薬剤を塗り終わった後です。
この状態でもホワイトスポットが薄くなっているのが分かります。
この状態でもホワイトスポットが薄くなっているのが分かります。

歯の表面を滑沢に磨きます。
しっかりと研磨しておくことで着色がつくのを防ぎます。
しっかりと研磨しておくことで着色がつくのを防ぎます。

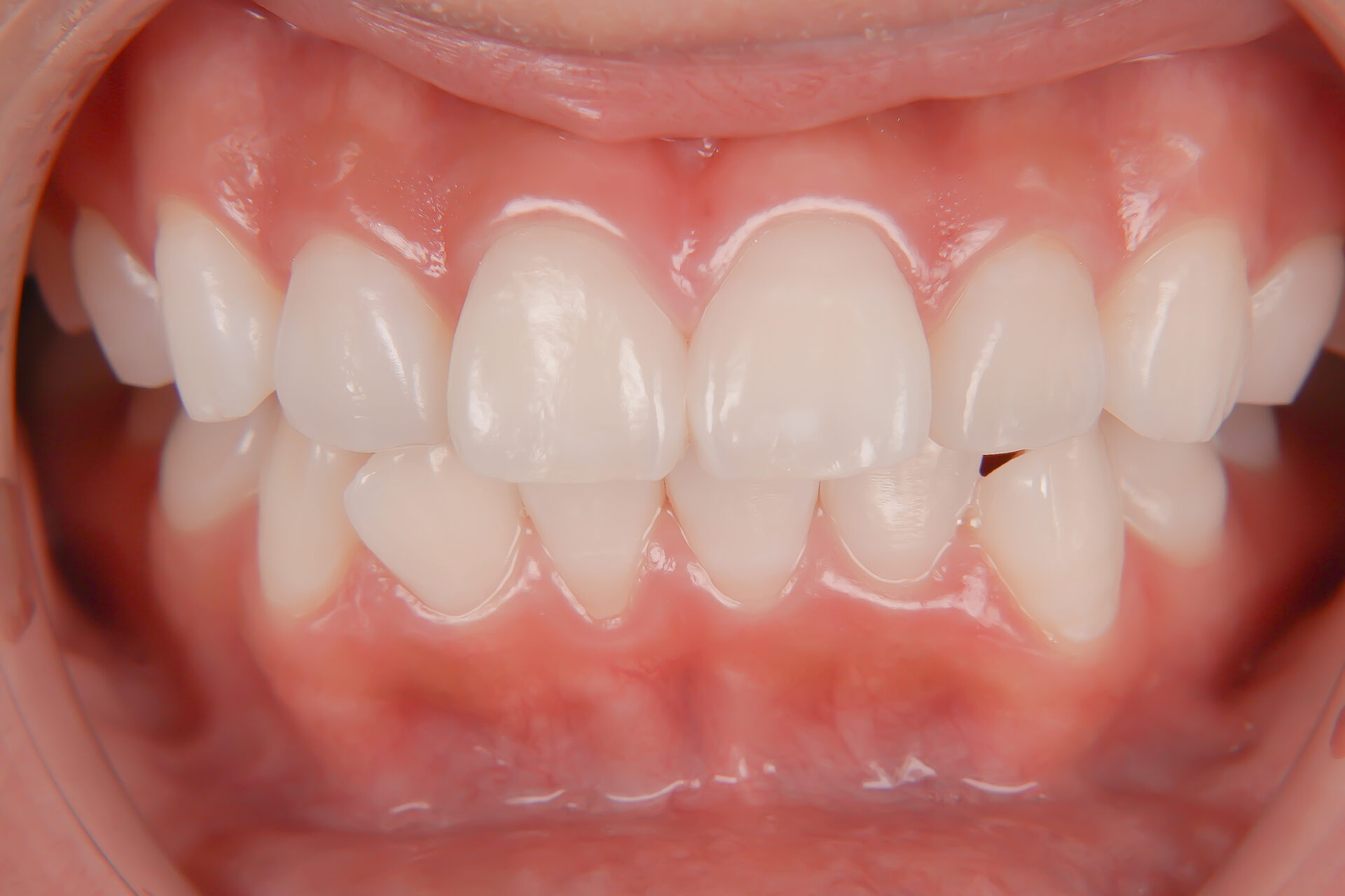
ぱっと見て、どこが白くなっていたのか分からないくらいきれいになり、患者様には大変喜んでいただけました。

天然歯を削ることなく自然に仕上げることができました。
ホワイトスポットでお悩みの方は是非当院にご相談ください。
ホワイトスポットでお悩みの方は是非当院にご相談ください。