Before
After
治療情報
| 症状 | 上の前歯が出ているのが気になる。 |
|---|---|
| 治療方法 |
表側矯正(ワイヤー矯正)にて対応 上顎の小臼歯を2本抜歯することで、出ていた歯を中におさめました。 |
| 費用 |
診査費 ¥55,000 透明ブラケット基本料 ¥580,000 難易度加算 ¥80,000 リテーナー ¥44,000 計税込¥759,000 税抜¥690,000 調整費 ¥5,500 |
| 治療期間 | 動的治療期間1年11ヵ月※保定期間を省く |
| リスク・副作用 | 歯肉炎、歯根吸収、歯肉退縮、装置の破損、金属アレルギーなどの症状が出る事があります。 |
※表示金額は全て税込みです。
患者様情報
| 年代 | 10代 |
|---|---|
| 性別 | 女性 |
治療方法

真横から見ると上の前歯が飛び出ています。
矯正治療にてこちらを綺麗に並べていきましょう。
矯正治療にてこちらを綺麗に並べていきましょう。

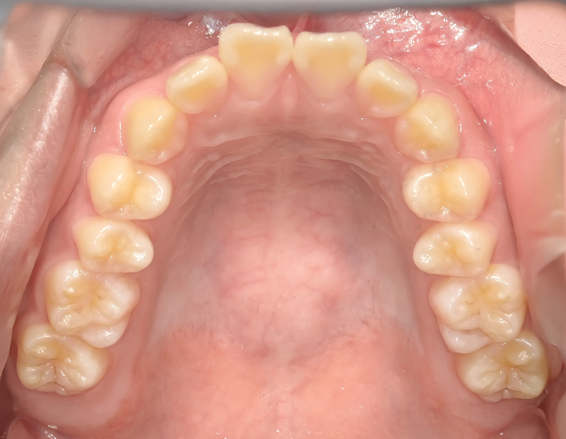
前歯2本が歯列弓(歯並びのアーチ)から外側に出ています。

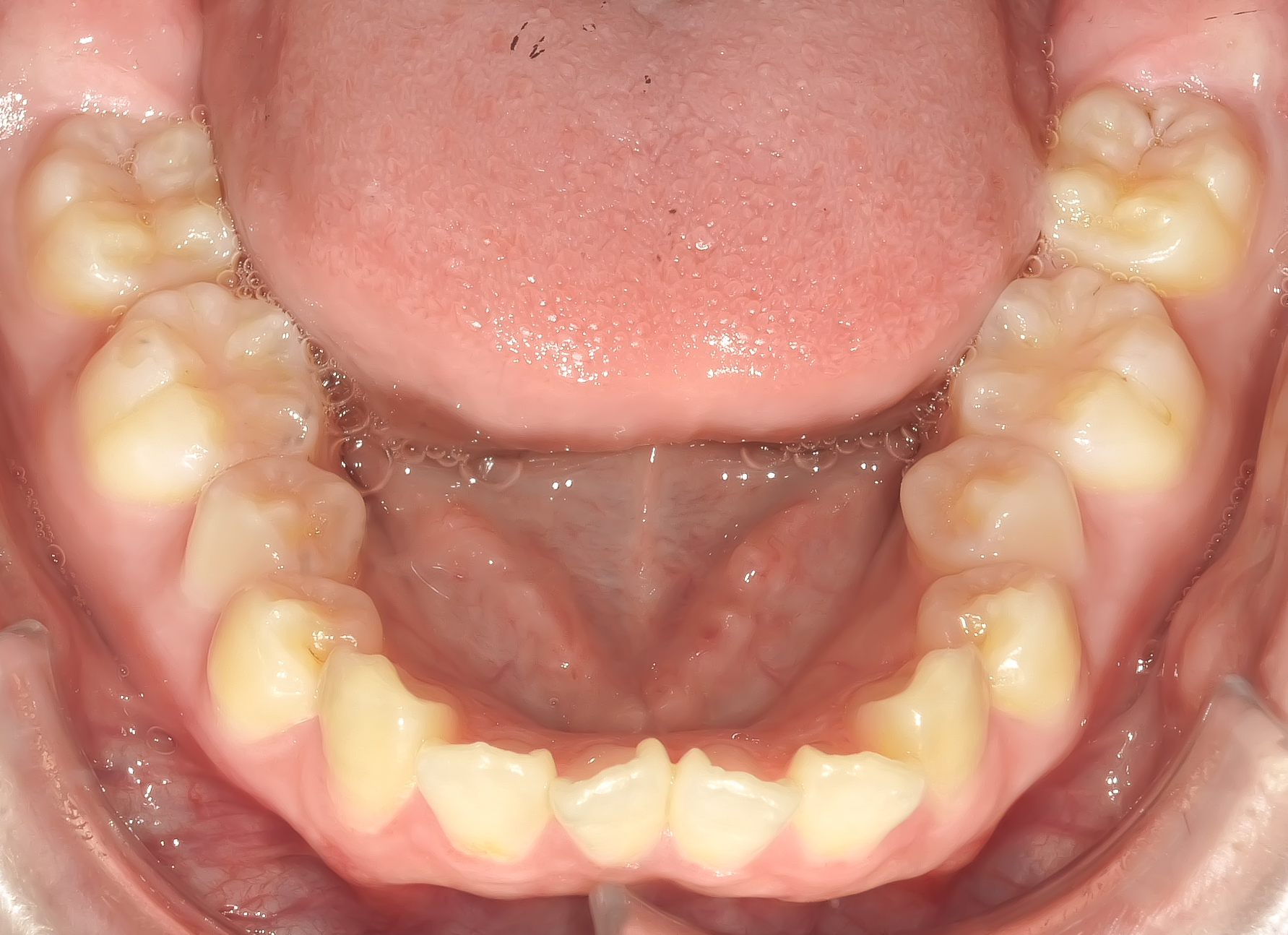
下顎の前歯に叢生(ガタガタ)を認めます。

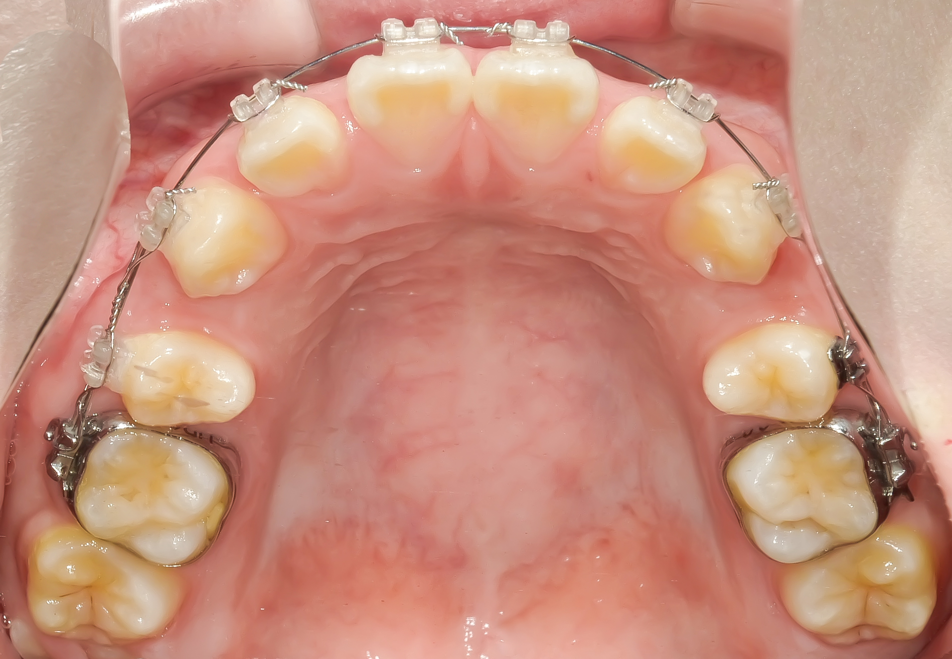
上顎に装置を装着した状態。
左右の前から4番目の歯を抜き、前歯を中に入れるスペースメイクを行います。
左右の前から4番目の歯を抜き、前歯を中に入れるスペースメイクを行います。

ワイヤーの超弾性(元の形に戻ろうとする力)が歯を並べます。

治療終了時の写真です。
上下の歯の真ん中が揃い、きれいに並んでいます。
上下の歯の真ん中が揃い、きれいに並んでいます。

真横から見ると、前歯が内側に位置し、出っ歯が改善しています。

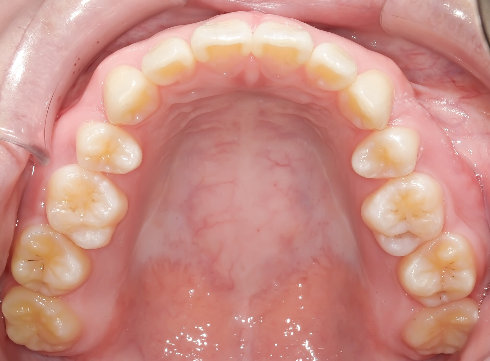
ほぼすべての歯が歯列弓上にきれいに並んでいます。

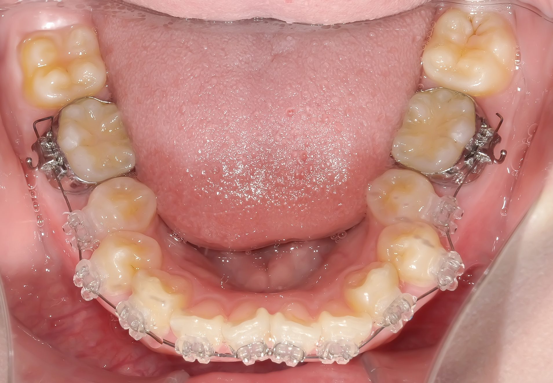
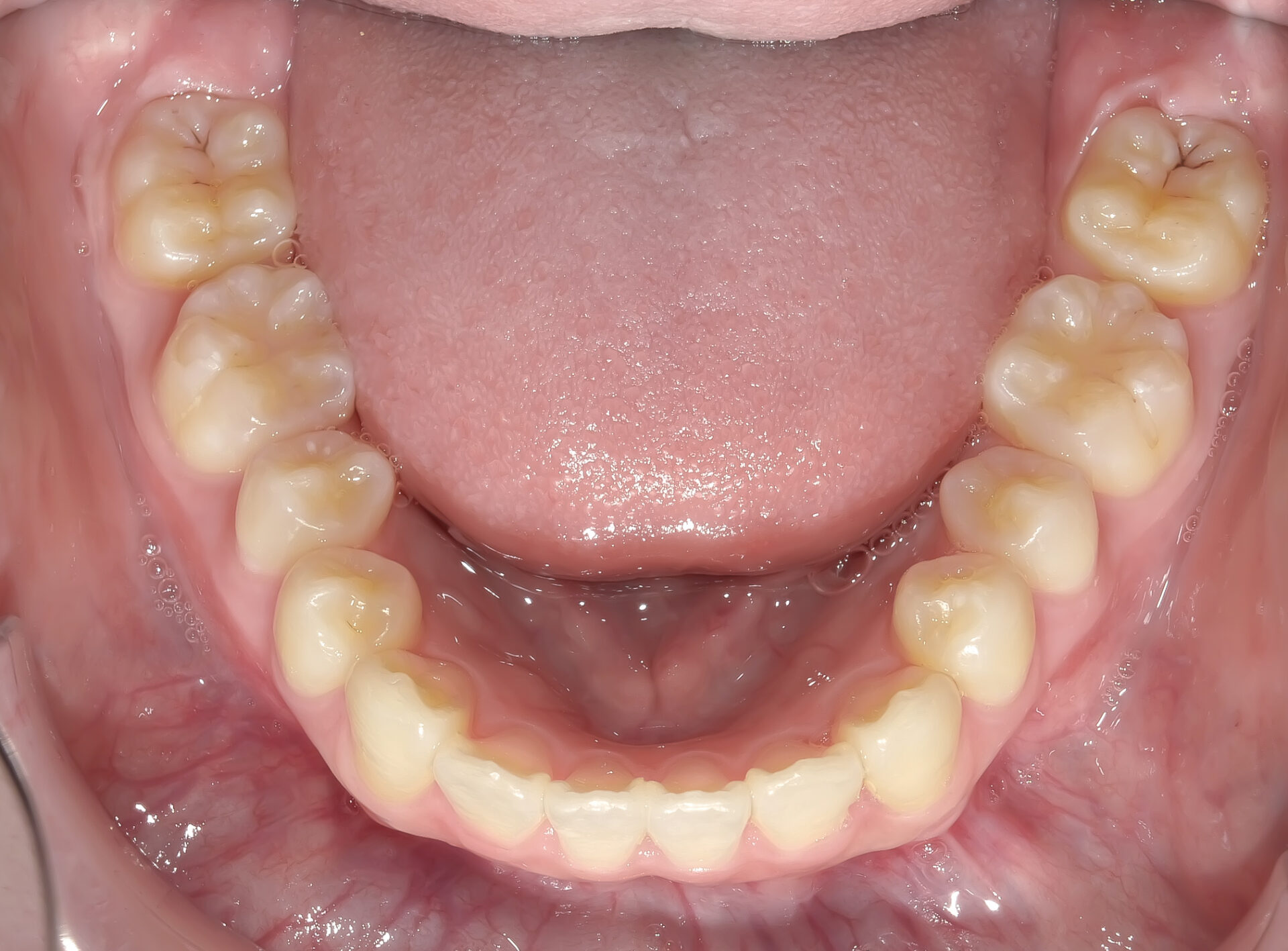
上下ともしっかり並びました。