Before
After
治療情報
| 症状 | 上顎のガタガタが気になる。 |
|---|---|
| 治療方法 |
上顎前歯にガタガタ(叢生)が多く、下顎歯列には少なかったため、上顎のみ抜歯(4┻4)し、叢生を改善する方針にしました。 上顎歯列の真ん中(正中)が右にズレていたため、抜歯したスペースを利用して改善しました。 |
| 費用 |
診査料 38,000 全体矯正基本料 640,000 調整費 4,500 抜歯 3,300×2 |
| 治療期間 |
2020/4/4 動的治療開始 2022/2/5 動的治療完了 2年以内に治療終了いたしました。 |
※表示金額は全て税込みです。
患者様情報
| 年代 | 10代 |
|---|---|
| 性別 | 女性 |
治療方法

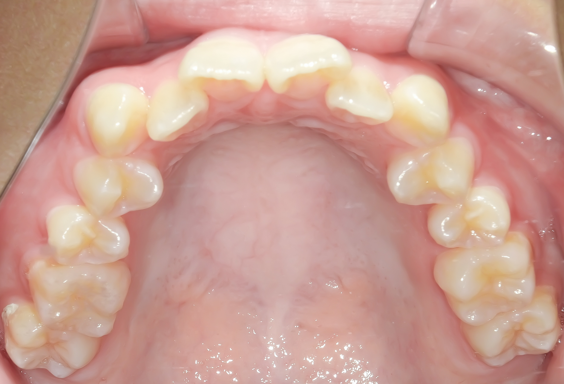
上顎の前歯部あたりに重度のガタガタ(叢生)を認めます。

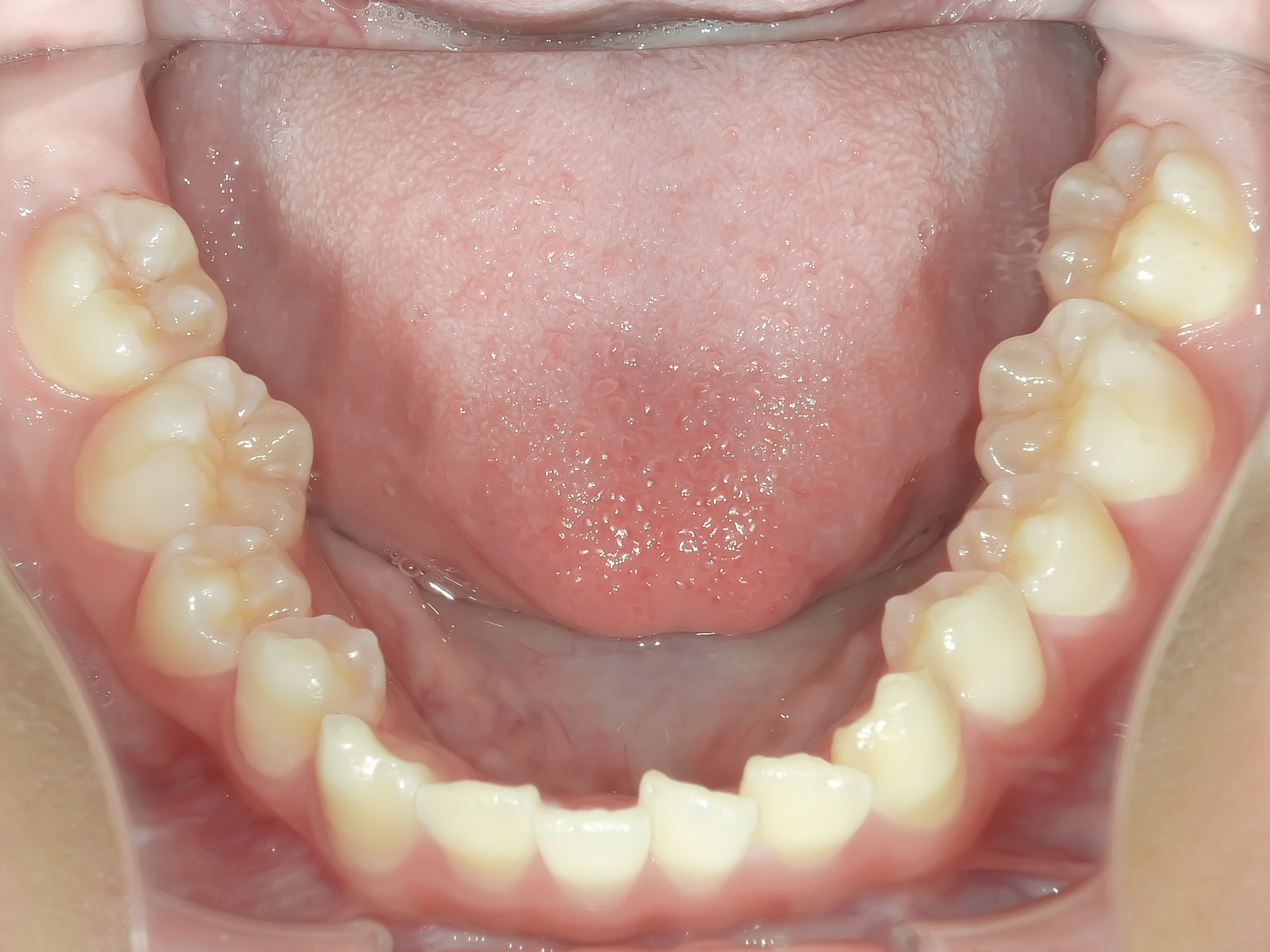
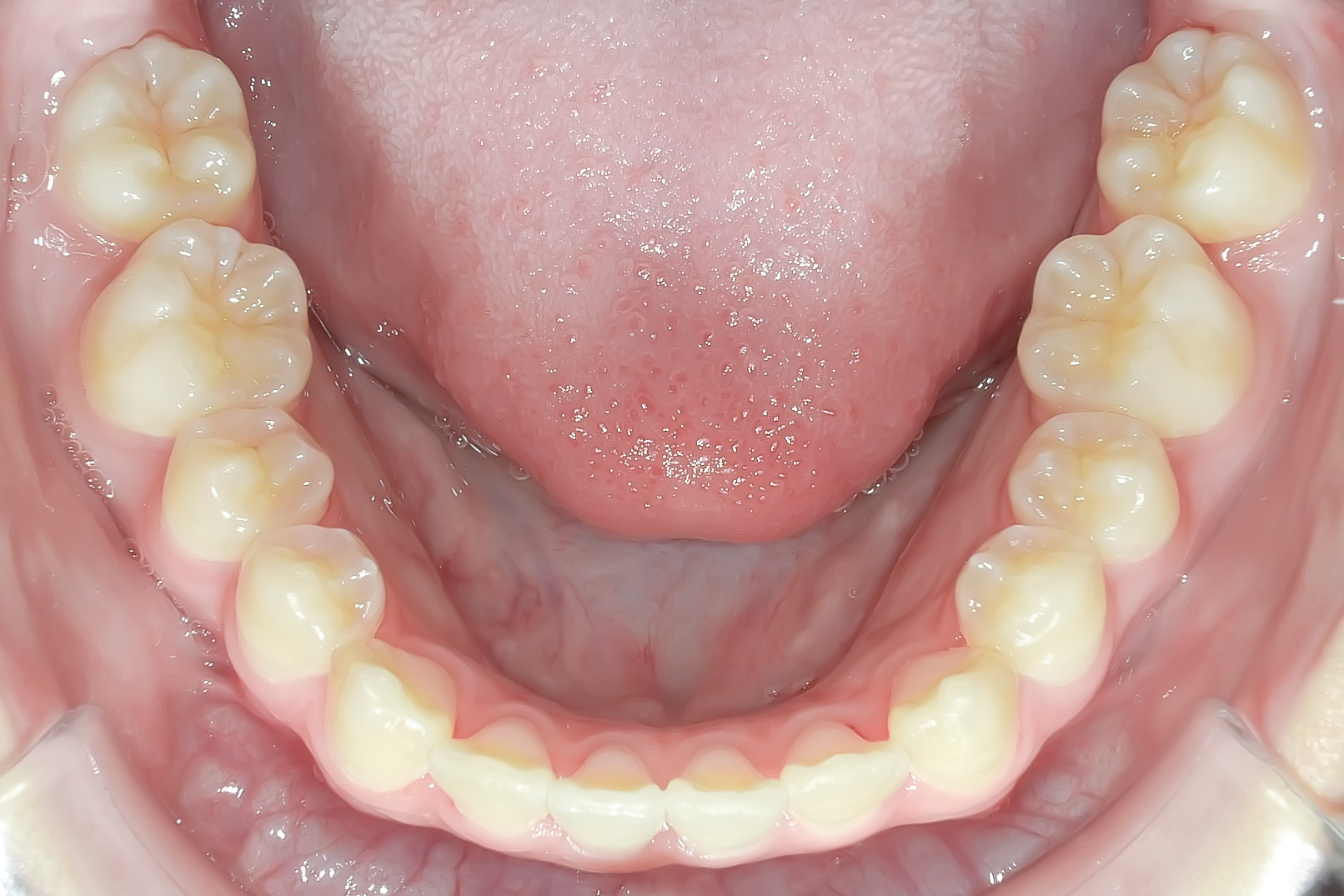
下顎には軽度の叢生を認めます。

上顎にワイヤーが装着されています。
上顎の前から4番目の歯(第一小臼歯)は抜去されており、そのスペースを使って叢生を改善していきます。
上顎の前から4番目の歯(第一小臼歯)は抜去されており、そのスペースを使って叢生を改善していきます。

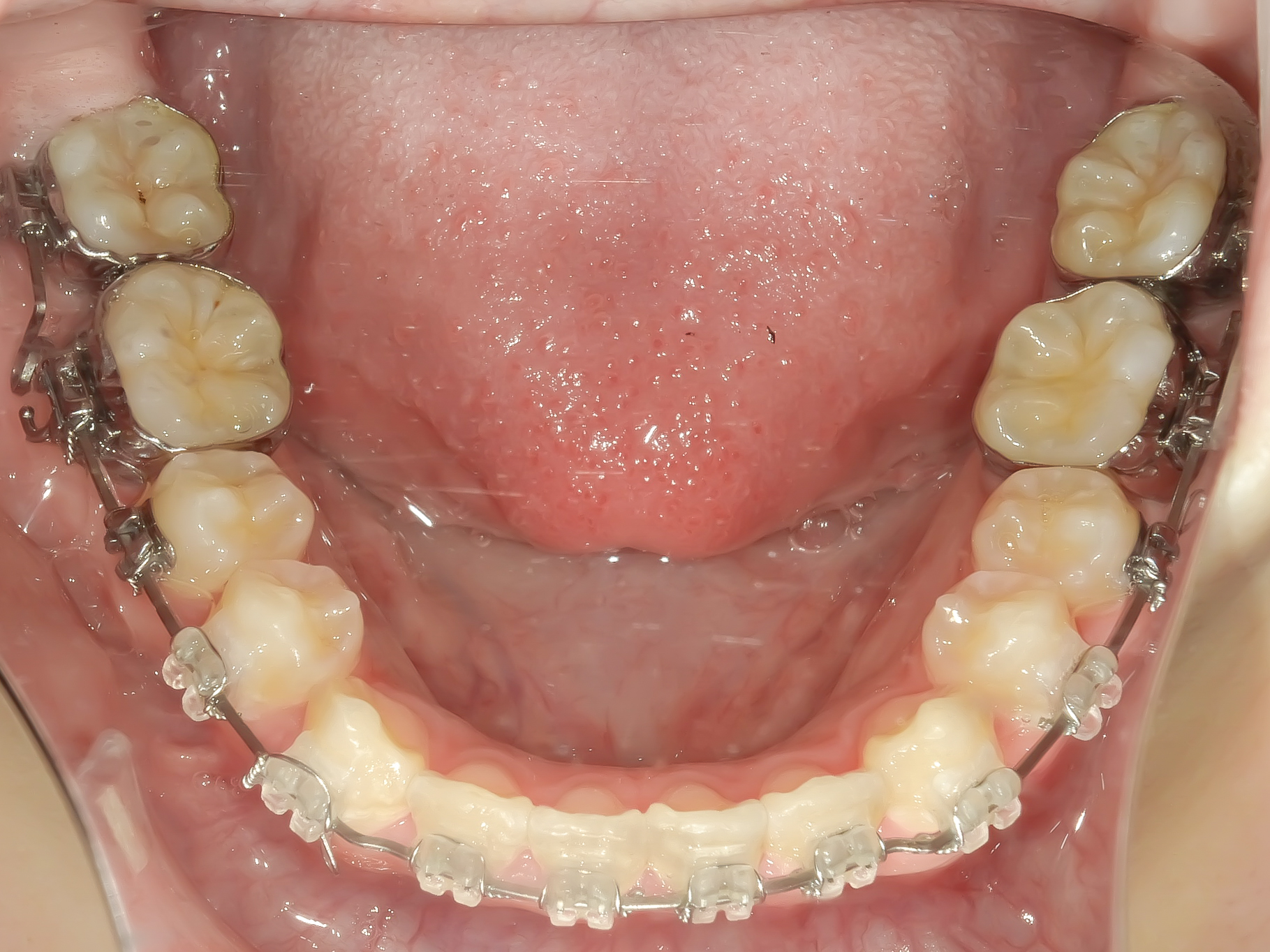
下顎にもワイヤーが入り、きれいに並んできています。

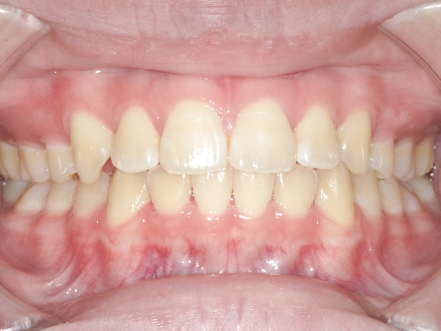
治療後です。叢生がなくなりきれいに並んでいます。

下顎も叢生がなくなりました。

正面から見てもきれいに並んでおり、上下の真ん中の線も一致しました。