Before
After
治療情報
| 症状 |
オープンバイトの状態でした。 主訴:前歯で噛めない。ガタガタも直したい。 |
|---|---|
| 治療方法 | 上下の歯を4本抜いてできたスペースを利用して、叢生(歯のガタガタ)を改善するとともに、前歯を後方に傾斜させる事で上下の前歯がかみ合うようにしました。 |
| 費用 |
診査料 5,000 全体矯正基本料 670,000 調整費 5,500×来院数 便宜抜歯 6600/ 歯×4 |
| 治療期間 | 動的治療3年半(保定期間別) |
| リスク・副作用 | 歯の移動に伴い、歯根や歯槽骨に負担がかかる可能性があります。 |
| 備考 | 舌が上下の前歯の隙間からよく見えます。舌のポジションが悪いと矯正治療後に後戻りする可能性が高いため、正しい位置を覚えていただく必要があります。 |
※表示金額は全て税込みです。
患者様情報
| 年代 | 20代 |
|---|---|
| 性別 | 男性 |
治療方法

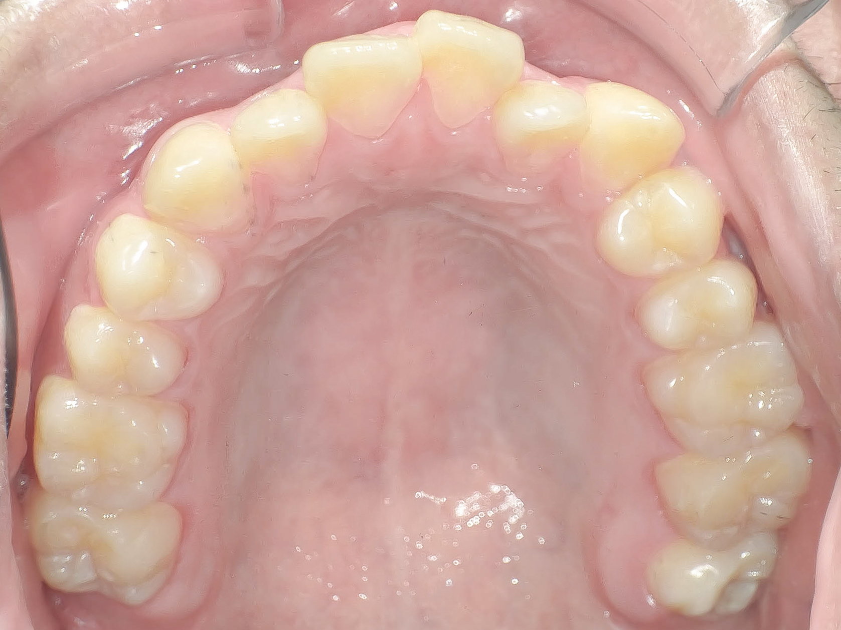
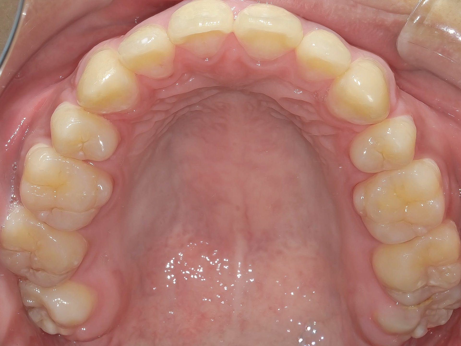
上と下の前歯が噛み合っていません。

上顎に叢生(ガタガタ)を認めます。

前から4番目の歯(第一小臼歯)を左右ともに抜去して、そのスペースを使って前歯を後方へ移動、開咬と叢生を改善していきます。
*下顎も同じように行います。
*下顎も同じように行います。

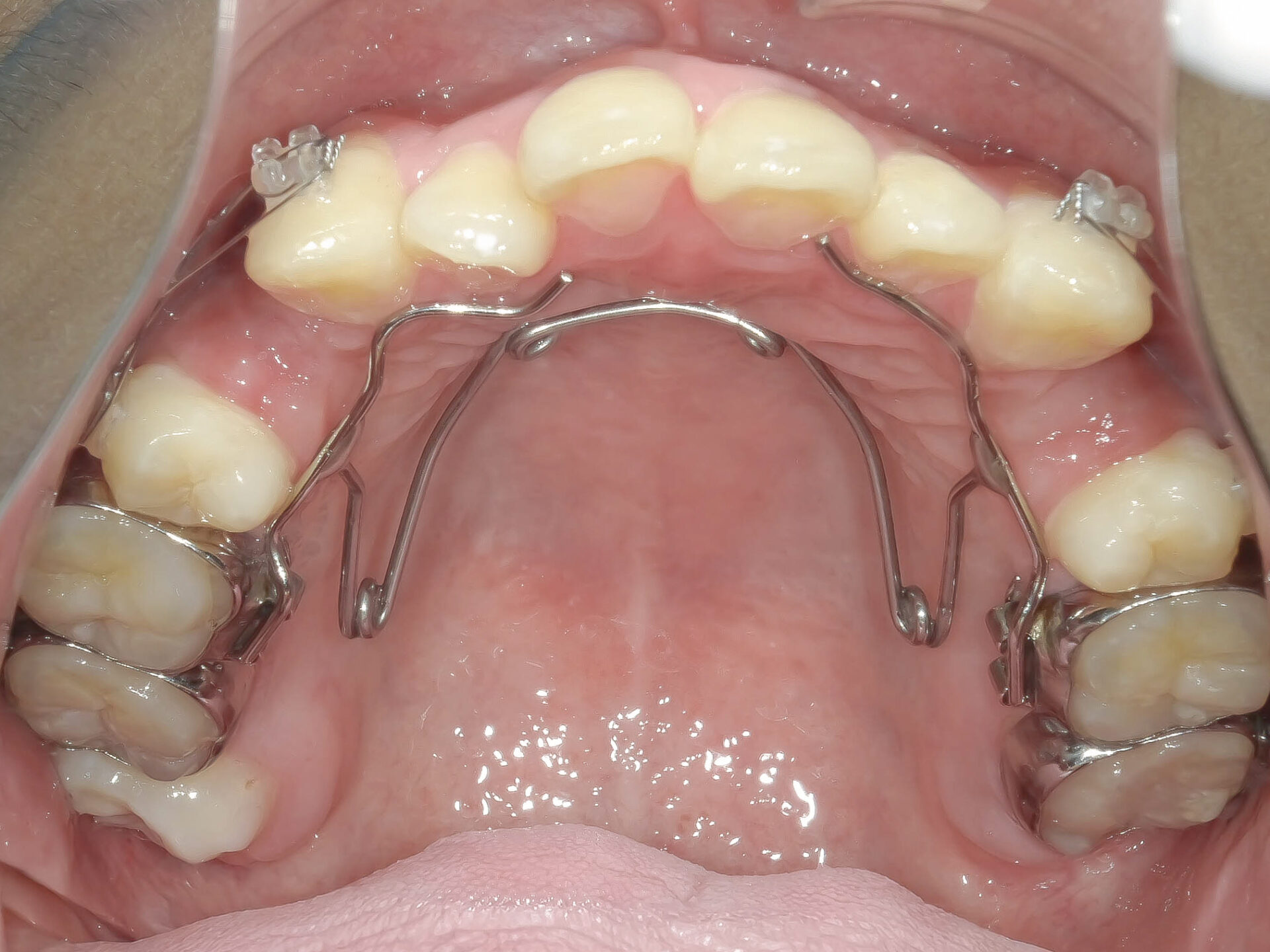
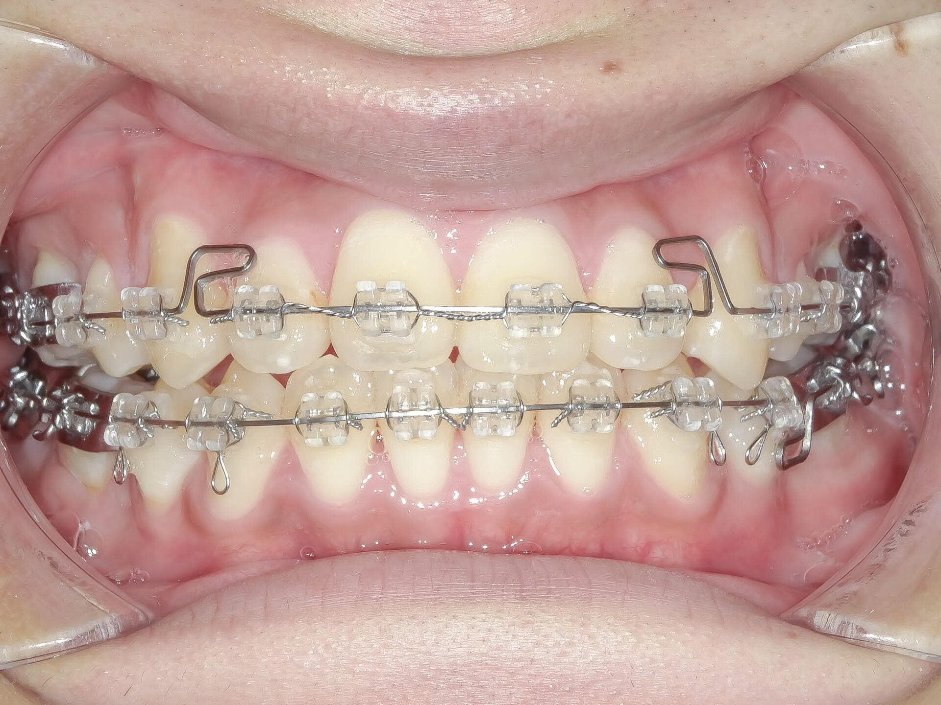
上下の前歯の叢生が改善しています。上の歯と下の歯の隙間は小さくなりましたが、これではまだ噛み切ることはできません。
残りのスペースを使って、前歯の咬み合わせを深くしていきます。
残りのスペースを使って、前歯の咬み合わせを深くしていきます。

前歯を後方へ移動させる用のワイヤーに変えて、調整を続ける事で上の歯と下の歯が咬み合うようになりました。

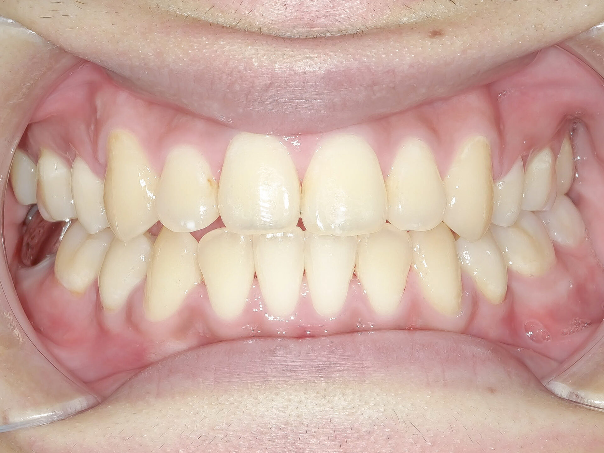
治療後です。上と下の前歯が噛み合っています。

横から見ても噛んでいることがわかります。

叢生もなくなりきれいに並びました。
コメントを残す