Before
After
治療情報
| 症状 |
前歯のかみ合わせが深く、下の前歯が全く見えません(過蓋咬合)。 向かって左側の方がより深く見えます。 |
|---|---|
| 治療方法 | 上顎の歯を2本抜去してかみ合わせを改善していきます。 |
| 費用 |
診査費 ¥55000 透明ブラケット基本料 ¥580000 難易度加算 ¥80000 リテーナー ¥44000 計税込¥759,000 税抜¥690,000 調整費 税込¥5500×回数 |
| 治療期間 | 約4年 |
| リスク・副作用 | 上顎前歯を大きく動かす為、歯根吸収のリスクがあります。そのリスクを少しでも減らすため、小さな力(最適な力)で少しづつ動かしていきます。 |
| 備考 | 奥歯の噛み合わせを一時的に上げるため、その分噛みづらくなります。(後述) |
※表示金額は全て税込みです。
患者様情報
| 年代 | 10代 |
|---|---|
| 性別 | 女性 |
治療方法

真横から見ると、深い噛み合わせに加えて、上の前歯の突出感があります。(上顎前突)。
これを改善するためには上顎前歯を後ろに引くことが必要です。
これを改善するためには上顎前歯を後ろに引くことが必要です。

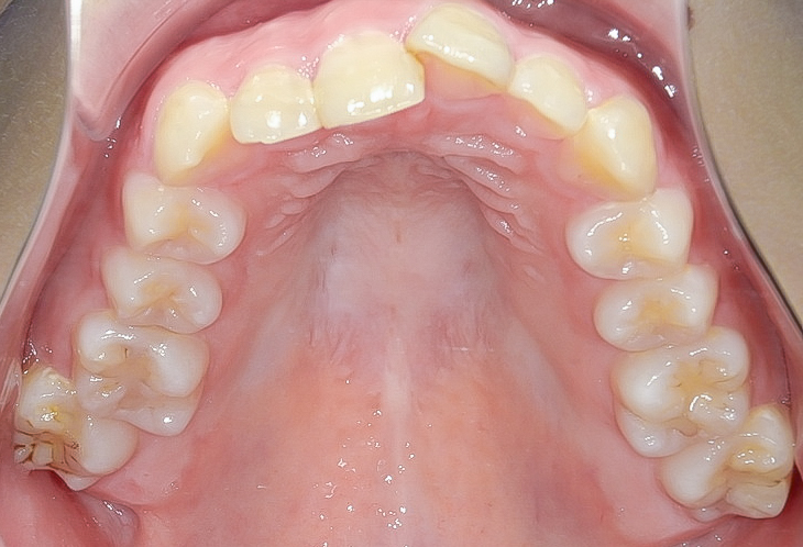
上顎歯列にガタガタ(叢生)を認めます。また少し分かりづらいですが、向かって左側の前歯は内側に向かって生えています。そのため左側の方の噛み合わせが深くなっているように見えます。
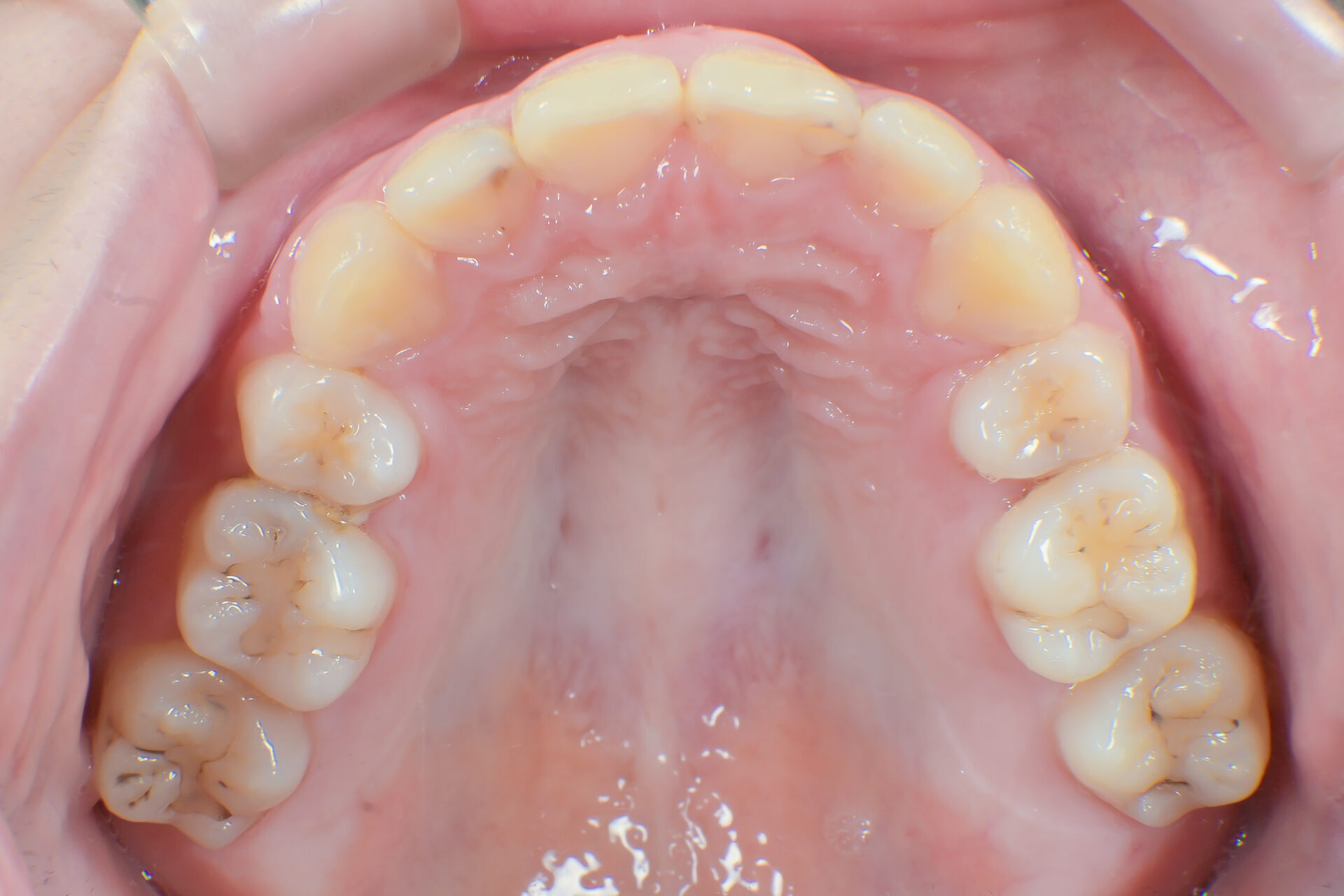
叢生を改善するには、歯を綺麗に並べるためのスペースが必要です。
しかし写真からもわかるように、そんなスペース(隙間)はなく、加えて前歯を後ろに引くためのスペースも必要です。
そのため、今回は左右から一本ずつ歯を便宜抜去することで、上顎前突、叢生、過蓋咬合を改善するスペースを獲得することとしました。
叢生を改善するには、歯を綺麗に並べるためのスペースが必要です。
しかし写真からもわかるように、そんなスペース(隙間)はなく、加えて前歯を後ろに引くためのスペースも必要です。
そのため、今回は左右から一本ずつ歯を便宜抜去することで、上顎前突、叢生、過蓋咬合を改善するスペースを獲得することとしました。

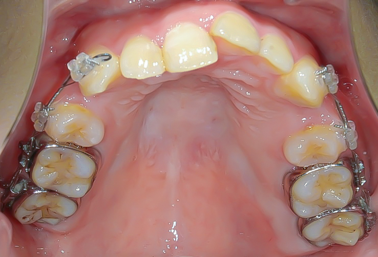
前から4番目の歯(第一小臼歯)を便宜抜去しました。ワイヤーを通して、まずは糸切り歯(犬歯)を後ろへ引いていきます。

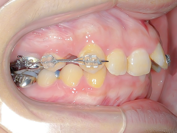
横からみた写真です。

咬み合わせが深く、歯が移動しづらいので、必要なくなったら削れるように色のついたレジンを奥歯に盛る事で、一時的に噛み合わせを浅くして歯を移動させていきました。

前歯にも装置を貼って、だいぶスペースが閉じてきました。前歯のガタガタもなくなっています。

ワイヤーの力で、上顎前歯を持ち上げるような力を加えました。噛み合わせもだいぶ上がりました。

治療後の写真です。噛み合わせも上がり綺麗になりました。

叢生も改善しました。隙間なく並んでいます。

出っ歯も改善しています。
患者様には大変喜んでいただけました。
患者様には大変喜んでいただけました。
コメントを残す